
우한폐렴으로
전국이 공포에 휩싸인 주말을 보냈다.

2020년 2월 25일 현재 우리나라 확진자는 900명을 넘었고
사망자는 11명.
자고 일어나면 확진자가 100명이 추가 되었단 소식과
사망자도 또 발생했다는 무시무시한 뉴스가 흘러나온다.
우한폐렴 사망은
폐렴(Pneumonia)으로 인한 호흡곤란이 주 원인으로 발생한다.

글을 쓰고 있는 지금 이 상황에서도
사망자와 확진자가 점점 늘어가는 그림이
남의 일처럼 보이지 않는다.

우한폐렴이 사망을 유발하는 가장 큰 요인인 폐렴에 대해 자세히 한번
포스팅해볼까한다.
폐 (Lung)
위치와 구조

폐는 심장과 주요 혈관을 가운데 두고 좌우에 1개씩 2개가 있다.
오른쪽 폐는 크게 나눠 세개의 폐엽(우상엽, 우중엽, 우하엽)으로 나눌 수 있고
왼쪽 폐는 두개의 폐엽(좌상엽, 좌하엽)으로 나눌 수 있다.

오른쪽 폐가 왼쪽 폐보다 폭이 조금 더 넓지만 길이는 짧고 더 무거우며
전체 폐기능의 55%를 담당하고 있다.
일반 성인의 폐 무게는 약 400g 정도된다.

코나 입을 통해 들어온 공기는
인두와 후두를 거쳐 기관을 통하게 되는데.
기관은 좌우 기관지로 나뉘고
기관지는 다시 세 기관지들로 갈라져 폐와 연결된다.

림프절은 기관지를 따라 분포하며
원형 또는 완두콩 모양으로
세포 사이사이에 있는 물과
림프에 있는 미생물을 걸러내는 역할을 한다.
폐의 기능

초, 중 고등학교 때 배웠겠지만
폐에는 약 3억개에 달하는 작은 공기주머니(폐포 Alveoli)가 있다.
폐의 기능은 여러 폐포들을 이용하여
몸에 필요한 산소를 공기 중에서 받아들여 혈액 속에 녹이고
혈액 내 노폐물인 이산화탄소를 체외로 배출시키는 가스교환이다.

폐포(Alveoli)에는 가스교환이 잘 일어날 수 있도록 작은 모세혈관들이
그물모양으로 둘러싸고 있다.

심장에서 공급된 혈액은 폐동맥을 통해 폐포 주변 모세혈관으로
공급되어 가스교환(산소는 얻고, 이산화탄소 배출)을 하게 되고
폐정맥을 통해 다시 심장으로 돌아가게 된다.

폐포 하나의 지름은 100~200μm로
3억개 폐포의 총면적은 약 100m^2 .
계산하면 약 30평 좀 넘는다.
최대한 공기와 접촉면을 늘려서 가스교환에 용이함을 위함이다.

폐포는 기침을 할 때마다 불규칙적으로 터지게 된다.
기침을 심하게 하면 피 맛이 가끔나는데
이건 손상된 폐포에서 나는 피 냄새다....ㅠㅠ
정상인의 손상된 폐포는 얼마 안가 금방 재생되지만
흡연 또는 여러 환경적 요인으로 폐에 이미 문제가 있는 상태라면
손상된 폐포는 재생이 느리거나 재생이 안되는 문제가 발생하게돼.
이 때문에 기관지에서 공기의 흐름이 좋지 않거나
폐포에서 가스교환이 제대로 이루어지지 않다면?
호흡곤란을 느끼게 되고 심하면 사망하게 된다.

따라서 폐는 생명 유지에 큰 중추 역할을 하는 매우 중요한 기관이다.
추가로 폐는 호흡작용 외에
호흡을 통해 열을 발산시켜 체온을 조절하기도 하고
체내 산과 염기의 균형을 유지하는 기능도 한다.

폐 속에서는 점액질이 호흡을 도우며
기도 섬모들은 폐 속 오염물질을 점액으로 끌어올려
폐를 청소한다.
폐의 일부가 손상될 경우 일부를 잘라내는 외과적 수술이 있는데.
폐는 수술 후 간처럼 재생이 되는 장기가 아니라서
수술 후의 삶은 굉장히 힘들다.
방어기전
- 점액 분비

점액은 기관과 기관지벽에 분포되어 있는 술잔세포에서 분비된다.
기도로 흡입되는 유해물질들을 붙잡아 섬모운동을 통해 밖으로 내보내는 역할을 한다.
이때 배출되어 나오는 유해물질이 가래
정상 성인은 하루에 보통 100ml정도 점액이 분비되지만
질병이 생기면 1,000ml도 분비될 수 있다!
- 섬모운동

섬모는 머리털과 같은 것으로 한 방향으로 움직여
점액이 균이나 먼지 등을 붙잡아 기관 쪽으로 옮긴다.
섬모운동은
- 점액이 진해지거나 점액분비가 많을 때,
- 산소가 부족하거나 너무 많을 때
- 탈수 되었을 때,
- 담배연기 등의 오염물질에 영향을 받게 되면
운동이 느려진다.
이 땐 수액을 맞거나 기관지 확장제를 투여 받아야 섬모운동 기능이 향상된다.
- 대식세포

폐포에 존재하는 대식세포는
외부에서 들어온 균이나 유해물질을 흡식해 감염을 방지하는 역할을 한다.
대식세포는 폐 속에 균이 나타나면 5분~10분안에 흡식한다.
- 계면활성제

폐포에서 생성되는 가장 중요한 물질의 하나로
호흡할 때 폐의 팽창이나 수축시
각 폐포의 압력을 동일하게 만들어주는 역할을 한다.
폐렴 Pneumonia
정의

폐렴은 세균 또는 진균(곰팡이)이나 바이러스에 의해
기관지 또는 폐조직에 염증이 발생하는 감염성 질환이다.
드물게 알레르기 반응이나 화학물질 흡입으로 발생할 수도 있다.
일반적으로 발열, 기침, 가래와 같은 증상이 있고
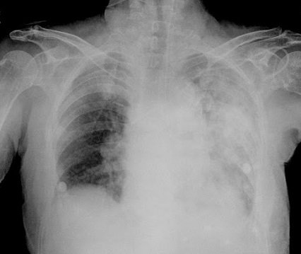
흉부 X선 사진에서 폐렴을 의심할 수 있는 소견이 나온다.

폐렴이 심해졌을 때
패혈증을 동반해 사망할 수도 있으며
병원균이 혈관을 타고 뇌에 이르면
뇌수막염이 발생할 수 있다.
특히 고혈압 당뇨병이 있는 사람이 폐렴에 걸리면 매우 위험하다!

2017년 기준 주요 사망원인은
암(27.6%) > 심장질환(10.8%) > 뇌혈관질환(8.0%) > 폐렴(6.8%)
건강보험심사평가원 자료에 따르면
2017년 전체 사망자 28만 5천여명 중
폐렴으로 사망한 사람은 약 2만여명이고
2017년 전체 폐렴 환자 약 34만 중 약 2만명이 사망해
치사율 5.9%이나 된다.
원인

폐렴은 기관지와 폐에 발생하는 염증성 호흡기 질환으로
이를 유발하는 요인은 다양하다.
항생제가 나오기 전에는 50~90%가 사망할 정도로 위험한 질병이였지만
현재는 항생제의 효과가 좋아 완치율이 95% 까지 올라왔다.

그러나 폐렴의 원인이 되는 균의 항생제 내성 또한 강해
일부 폐렴은 과거보다 치료가 어려워졌다.
게다가 어린이 노약자 혹은 흉부수술 바이러스 질환 등으로 면역력이
약한 사람들은 흡인성 폐렴(병원내 감염)이 발생할 가능성이 높다.
증상

초기엔 기침 가래 호흡곤란과 같은 증상으로 감기와 흡사하다.
대소롭지 않게 판단해 초기 치료시기를 놓치기 쉬운데,
초기 치료를 놓치면
병증이 심해져 더욱 위험해진다.

38도 이상의 고열과 기침이 있고
특히 가래 색깔이 노랗거나 탁하게 변하고
나중에는 고름이 섞인 점액농성 객담이 1주일 이상
지속된다면 폐렴을 의심해야한다!!
이 객담은 끈적거리고 뱉어내는 것이 힘들다.
보통 발열, 오한이 동반되는 경우가 흔하지만
경미한 폐렴의 경우,
특별한 증상이 없을 수도 있는게 무서운 점이다.

때에 따라 어깨나 복부 옆구리로 뻗치는
칼로 찌르는 듯한 흉통이 있을 수 있다.

나이가 좀 많은 분들은 이유 없이 기운이 없고
식욕이 떨어지거나 계속 졸리다면
폐렴을 의심해볼 수도 있다.
전신쇠약, 두통, 설사와 같은 비 특이적인 증상을
호소하는 경우도 있다.
평소 면역력이 약하거나 어린이, 노인, 만성질환 환자 등
몸이 약한 사람이 폐렴에 걸리면 치료가 매우 어렵다.
폐렴의 종류
병원균성 폐렴 (pneumonia caused by pathogens)

폐렴을 일으키는 병원균에 의해
폐에 감염되는 급성 염증성 호흡기 질환이다.
주로 열과 오한 기침 가래가 나고
X-선 상에 폐렴 병변이 보인다.
장기이식 후 1개월 이내 잘 발생하며
2~6개월 사이에도 발생할 위험이 높다.
바이러스성 폐렴 (Viral pneumonia)

병원균성 폐렴보다 증상이 천천히 나타나고 열이 높지 않다.
보통 7일의 잠복기를 거쳐 증상이 나타나며 2주 이내 증상이 호전되는데
가래가 없는 마른 기침이 동반되고
발열 오한 근육통 피로 식욕부진등의 증세가 있다.
과민성 폐렴 (Hypersensitivity pneumonitis)

유기분진과 화학물질이 반복적으로 흡입되면서
폐포 폐포벽 말단 기관지의
면역학적 기전에 의해 염증을 일으키는 질환이다.
급성과 만성형 증상이 있는데
건초, 새의 배설물, 냉난방기구 습도조절기구 등에서
발생하는 분진이 주요 원인으로 꼽힌다.
호산구성 폐렴 (Eosinophilic pneumonia)

호산구는 과립구의 일종으로
조직내 기생충 감염 알레르기 질환 등에 대한 면역에 주로 관여하는
백혈구세포 중 하나다.
폐에 호산구가 증가하면서
갑자기 마른기침이 나고
주로 밤에 악화되며
호흡곤란과 가슴에서 쌕쌕소리가 나는 천명음이 들리고
객혈이 동반되기도 한다.
그 외 미열, 근육통, 식욕부진으로 인한 체중감소가 서서히 나타날 수 있다.
진균(곰팡이)성 폐렴 (Fungal pneumonia)

수술, 질병, 알코올중독 등으로
면역력이 떨어져 있거나
생활 환경의 위생상태가 안좋을 경우
진균성 폐렴이 생길수 있다.
해당 질환은 환자의 기저 질환으로
약에 부작용이 많아 치료가 매우 여려운 폐렴이다.
흡인성 폐렴 (Aspiration pneumonia)

병원 외 지역감염이 아닌
병원 내 감염이다.
병원에 입원한 환자가 입원 48시간 이후 발생한 감염성 폐렴이지.
조기 진단 및 적극적으로 대응 치료해야 초기 진압이 가능하다.
간질성 폐렴 (Interstitial pneumonia)

폐포와 폐포사이 벽(간질)에
비 감염성 원인에 의해 만성 염증이 지속되어 나타나는 염증성 질환이다.
폐 섬유증 (Pulmonary fibrosis)

폐가 점점 딱딱해지고 기능이 떨어져 서서히 호흡곤란으로
사망에 이르게 되고
급성 악화로 폐렴을 동반하게 되면 돌연 사망에 이르게 된다.
정확한 원인은 아직 밝혀지지 않았지만

흡연, 헤르페스바이러스, 위 식도역류질환, 가족력 등이
위험인자라 보고 있다.
환자의 80%가 50세 이상 남성 흡연자로 젊은 사람과 여성에겐 드문 질환이다.

움직일 때 숨이 찬 것이 가장 흔한 증상이며
병이 악화되면
가만히 있어도 숨이 찰 수 있고
질병이 오래 되면
마른기침이 자주 나고 입술주변이 파랗게 변하는 청색증이 나타날 수 있으며

손가락 끝이 뭉툭하고 둥글게 변하는
곤봉지(棍棒指) 증상이 나타날 수도 있다.
아직까지 정확한 원인을 파악하지 못하고 있으며
일종의 자가 면역질환으로 추정하고 있는 상황이다.
발병 후 25%정도만 10년 정도 생존하며 대개의 환자는
4~5년내 사망하게 되고
사망환자 10명 중 1명은 폐암으로 사망하게 된다.

특발성 폐섬유증 (Idiopathic pulmonary fibrosis)
특발성 폐섬유증은
가장 예후가 나쁘고 발병 빈도도 높은 편이다.
인구 10만명당 10~40명이 특발성 폐섬유증을 앓고 있고
진단 받은 후 평균 생존기간은 3~5년 정도..
말기 환자에게는 폐 이식 외 다른 효과적 치료법은 없다.
폐 이식 후 5년 생존율은 약 50~60%로 보고되지만
장기 공급이 부족하고
특발성 폐섬유증의 예후가 나쁘기 때문에
이식을 기다리는 도중 사망하는 경우가 많다.
50세 이상 남성 흡연자라면 1년에 한번 X-선 촬영으로
폐질환 검사를 권장한다.
폐섬유증은 사전 예방이 가장 중요하며
의심 증상이 있을 때
빨리 진단받고 치료를 시작해야 그나마 진행을 늦출 수 있다.

대한항공 조양호 회장도 폐섬유화증으로
사망한 것으로 알려져 있다.
진단

증상과 징후 및 배양검사 결과에 의해 진단 되지만
개개인에 따라 증상이 다른 경우가 많다.
균배양이 정확하지만
균배양은 대략 50% 정도에서만 가능하다.
정확한 진단을 위해 흉부 X-선 검사를 시행하나 폐렴 이외
다른 호흡기 질환과 감별이 필요할 때는 흉부 CT 검사를 실시하며
확실한 진단을 위해
객담검사, 혈액검사, 혈청검사, 흉막액 배양검사 등을 실시하기도 한다.
치료

건강한 성인은 폐 속 원인균을 없애는 항생제를 투여하고
충분한 휴식을 취하면 1~2주내 병증이 완화 되지만
경우에 따라 3주 이상 치료가 필요할 때도 있다.
적절한 수분을 공급하고 건조하지 않게 습도를 높여주며
저산소 혈증이 있는 경우 산소를 공급해준다.

가슴에 통증을 줄이기 위해 더운 찜질을 권하기도 하며
비 스테로이드성 소염제를 복용할 수 있다.
일반적 폐렴환자는 가래를 잘 뱉어내는 것이 좋으므로
거담제를 복용하기도 하고
열 또는 두통이 심한 경우 해열 진통제를 사용할 수 있다.
주사 혹은 경구 항생제를 투여하는 것이 중요하고
증상이 심하지 않은 경우는
외래에서 치료하며
호흡곤란 등 증상이 심한 경우는 입원해서 치료 해야한다.
에크모(ECMO) 체외막산소공급
extraCorporeal Membrane Oxygenation

기능이 멈춘 심장과 폐가 기능을 회복할 때까지
산소를 기계적으로 공급하면서 생명을 유지하는 장치가
에크모(ECMO)
급성호흡부전, 급성심근경색, 심근염, 심부전, 폐부종, 폐색전증, 패혈증 등
심폐기능이 정지된 모든 응급 상황에 생존율을 높이기 위해 사용하는 기기이다.

원리는
다리 대퇴정맥을 통해 나온 혈액이
펌프와 산화기(산소 공급기)를 거쳐 다시 몸속으로 들어가게 한다.
에크모가 수일에서 수주 동안 망가진 심장 폐 기능을 대신해 시간을
벌어주면 그 동안 의료진은 약물치료 수술 등을 통해
심폐기능을 회복시키는 치료법이다.

2014년 5월 삼성그룹 이건희 회장도 급성심근경색증으로
삼성서울병원에서 에크모 거치술을 받았었다.
경과

폐렴이 진행되면 패혈증이나 쇼크가 발생할 수 있고
국소적인 합병증으로 흉수 농흉 폐농양 등이 생길 수 있다.
모든 폐렴 환자가 합병증이 동반되는 것은 아니지만
환자가 고 위험군일 경우 합병증 확률이 높으므로 주의가 필요하다.
합병증
폐에 물이 차는 흉수(pleural effusion)가 가장 많고
폐혈증, 폐농양 같은 합병증이 생기면 사망 위험이 높아진다.

가슴벽과 폐 사이 늑막에
염증성 진물이 차는 늑막염이 생길 수 있는데
늑막염이 심해지면 화농이 되면서
고름이 늑막 사이에 차게 되는 농흉으로 발전하게 된다.

급성호흡부전(Acute Respiratory Failure)로 발전할 수도 있고
심해지면 다발성 장기부전으로 사망하게 된다.
예방

평상시 충분한 수면을 취하고
편식을 피하면서
규칙적인 운동을 통해 일정한 생활리듬을 유지하고
정신적 안정을 취해야 함
과로나 과음 흡연을 피하고 몸의 면역력을 높여야한다.
폐렴식 식단

증상의 진행 중
식사량 감소로 인한 체중감소와 체조직 소모를 방지하기 위해
충분한 에너지와 단백질의 섭취가 매우 중요하다.
과식보다는 간식과 함께 소량, 자주 섭취가 좋다.
매끼 양질의 어육류나 두부 계란 등을 챙겨서 섭취하면 더 좋다.
숨이 찰 때는 부드러운 식품을 이용해야한다.
잦은 가래 배출로 몸에 수분이 부족하기 쉬우므로
수시로 과일주스나 물 등을 보충해주는 것이 권장된다.

불과 얼마전만해도 전세계적으로 감염자 3000명이었는데.
한달도 안지나 8만명이 되어가고

국내 확진자수는
입이 다물어지지 않을 속도로 폭발적인 증가세를 보이고 있다.
더이상 역학 조사가 무의미해진 시점에서
감염원인을 찾지 못하는 지역 감염으로 이어진 현재 상황이
너무나도 꿈같은 현실이다.
신종 코로나바이러스 자세한 정보, 상세한 증상, 치료, 예방수칙
전세계 적으로 민폐를 끼치는 중국에서 발병해 전세계를 공포로 몰아넣고 있는 우한 폐렴. 얼마전 포스팅글에서 다뤄봤는데 날이 갈수록 심각해져감에 좀더 자세히 다뤄봤습니다. 우한 폐렴 감염시작, 증상, 치료..
2itooit.tistory.com
이 글 끝부분에 각자도생이란 말을 썼는데.
지금 현 상황은 개인이 위생을 철저히 하더라도
예방가능한 시점은 사실 넘어서버린게 아닌가...걱정된다.

과연 이 엽기적인 확진자 증가 기세를
개인이 노력해서 어디까지 방어할 수 있을 것인가...
암담하다.
메르스 때 그렇게 점잔빼며 우린 다를 것이다 외치던 그들은.
첫 사망자가 발생한 당일...

말은 지키고 있는지...
대구 방문해서 마스크 쓴 그 모습이며 눈빛이며 그 자세...


어찌 이리도 다른지...
더이상 말을 줄인다.
2IT : 네이버 블로그
쉽게 알아보는 수능공부와 공부법 그리고 핫한 이슈 & 재미난 정보 & IT 기기들에 대해 알려드립니다
blog.naver.com
신종 코로나바이러스 자세한 정보, 상세한 증상, 치료, 예방수칙
전세계 적으로 민폐를 끼치는 중국에서 발병해 전세계를 공포로 몰아넣고 있는 우한 폐렴. 얼마전 포스팅글에서 다뤄봤는데 날이 갈수록 심각해져감에 좀더 자세히 다뤄봤습니다. 우한 폐렴 감염시작, 증상, 치료..
2itooit.tistory.com
우한폐렴 최초 전파자, 중국의 AIDS 치료백신에 동원된 임상실험자들???
해외에서 우한 폐렴의 신종 코로나 바이러스 염기 서열을 분석해내면서 우한 폐렴의 매개체가 우한 시장 박쥐고기가 아닌 중국의 백신 개발 사고일 가능성을 제기하고 있다. 증상이 에이즈와 비슷한 점이 많고 우..
2itooit.tistory.com
손소독제 & 올바른 손 씻기 INFO
중국에서 시작된 우한 폐렴으로 전국민이 공포에 빠진 가운데 대통령이란 인간은 자국민 보호를 위해 다른 나라는 다~~~하고 있는 입국금지도 안하고. 과거 눈 뒤집고 왜 안해주냐며 손가락질하던 투명한 정보공..
2itooit.tistory.com
굳이 나쁜 습관을 바꾸려하지마라. 새로운 습관만들기! 습관의 구조를 이해를 바탕으로!
드럽게 공부는 하기 싫은데 하기는 해야하고. 습관처럼 공부를 해야한다고들 하는데. TV나 유튜브에선 21일만 공부하면 습관이 됩니다!!!! 이런 소리하는데 나는 그게 안되는데! 뭔가 습관을 만들고..
2itooit.tistory.com
중국의 3대 계파. 3대 파벌에 대한 INFO와 우한폐렴 관련 추측
요즘 우한폐렴때문에 중국 중국 말이 많은데 그와 연관지어 중국 내 3대 파벌에 대해 한번 포스팅해보려고 한다. 중국 내 3대 파벌은 공청단, 태자당, 상하이방 으로 이 3계파가 정권을 잡기위해 경쟁하..
2itooit.tistory.com
나에게 맞는 영어책 찾는 방법. 5 손가락 북 테스트. (5 Finger Book Test)
난 초등학교때 놀이터에서 놀기 바빳는데. 요즘은 초등학교는 커녕 유치원 때부터 한국어랑 영어를 동시에 같이 배우는 가정이 많다고들해. 그땐 참 유별나다 싶었는데 어느새 그게 납득되어가는 시대가 와버렸어..
2itooit.tistory.com
[국어][문법] 문장편(1) 문장의 성분(주어, 서술어, 목적어, 보어, 관형어, 부사어) 서술어의 자릿수
여러분 안녕!? 얼마전 단어편을 완료하고 한동안 문장편 준비하면서 공부하고 있었는데. 우한 폐렴이 터지지 뭐야...착잡... 진짜 밖에 돌아다니지도 못하고 ㅠㅠ 그 좋아하는 카페서 공부도 못해... 다..
2itooit.tistory.com
우한 폐렴(코로나 바이러스) 자가진단 방법
현재 우한 폐렴(신종 코로나 바이러스)(2019-nCoV)(코로나19) 감염 의심자 급증으로 제대로된 확진을 위한 PCR 검사를 받지 못하는 실정입니다. 우한 폐렴의 가장 무서운 점이 일반 감기와 비슷하거나 자각..
2itooit.tistory.com
조니뎁 엠버허드 사건 총정리(feat. 법원 제출된 증거, 증언)
2014년 5월 개인 비행기로 이동하는 도중에 엠버 허드가 계속 언어폭력을 퍼부음. 참다 못한 조니뎁은 비행기 화장실에 들어가 문을 잠그고 화장실 바닥에서 잠듬. 2014년 8월 조니 뎁은 진통제에 의존하고 있는..
2itooit.tistory.com
달(Moon)에 대한 꼼꼼한 INFO
요즘 INFO글을 많이 못쓰고 있어서 고민이 많았는데 유튜브 우주관련 영상을 많이 보다보니 흥미로운 정보를 많이 찾아서 달에 관해 한번 써볼까해요! 과거에는 지구상의 떨어진 두 지점에서 동시에 달의 위치..
2itooit.tistory.com
기상캐스터 겸 인터뷰어 겸 여자워크맨 김민아 아나운서 INFO
1991년 2월 1일 경기도 안양시에서 태어난 올해 30살이 된 김민아 아나운서 입니다. 인스타그램 https://www.instagram.com/minamiminana/ 로그인 • Instagram www.instagram.com 이지만 현재 비공개 계정으..
2itooit.tistory.com
BTS 뷔 김유정 열애?! 지하철데이트 팬덤사이에선 거의 확실시...
얼마전 BTS 뷔 님이 지하철 인증을 하셨죠 다들 왜 지하철 갑자기 탐? 한번 타보고싶었나? 특이해~ 이런 반응이었는데 얼마후 배우 김유정씨 SNS에 사진이 올라옵니다 팬덤들은 건대역 내선순환 2호선인걸 포..
2itooit.tistory.com
대통령도 복용하고 있다는 아스피린에 대한 INFO
고대 이집트 시대부터 진통 해열제로 사용되었단 기록이 있는 아스피린(ASPIRIN) 얼마전까지 항암효과까지 있단 소식에 만병통치약이구나!!!하며 불렸지만 그 약효를 두고 연구결과와 의견들이 나뉘어 지고 있는..
2itooit.tistory.com
전현무의 여자 이혜성 아나운서
1977년 11월7일생 올해나이 44세의 전현무씨는 연세대학교 영어영문학 사회학사에 나왔으며 아나운서 시험 3사 모두 합격하는 3관왕을 이뤄내며 타고난 센스를 자랑해왔습니다. 한혜진씨와 공개 연애하다 결별하..
2itooit.tistory.com
장동건-고소영 커플 정보
우리나라에서 비쥬얼 최고 부부를 뽑자면 바로 장동건 고소영 부부가 항상 언급되죠! 두 사람은 열애 소식부터 결혼까지 당시 많은 화제를 모은 바 있는데요. 지난 2010년 백년가약을 맺고 슬하에 아들 1명 딸 1명..
2itooit.tistory.com
미국과 이란의 입장과 프레임, 이슬람 종교 내 시아파-수니파가 왜 싸우는지 & 최근 슐레이만 이란 사령관 살해와 연결되고 있는 시아파 영웅 후세인에 대한 INFO
포스팅에 앞서 시아파 영웅 후세인은 이 후세인이 아닙니다. 이 사람은 수니파입니다. 수니파가 뭐고 시아파가 뭐냐? 하실 건데 그러기 위해선 이슬람교에 대한 이해가 필요합니다. 위 사람이 이슬람교를 창시한..
2itooit.tistory.com
구글의 미래에 대한 투자 INFO
티스토리 블로그를 열면서 에드센스를 달아볼까? 하며 이것저것 알아보던 와중 구글의 엄청난 공격적이면서도 다방면으로 투자하는 여러 미래지향적 회사들이 많다는걸 알고 거기에 대해 한번 이야기 해볼까합니..
2itooit.tistory.com
'INFO 정보' 카테고리의 다른 글
| 우리가 N95(KF94, 방진1급 등) 등급 이상 마스크를 껴야하는 이유와 마스크 재사용에 대한 정보 INFO (2) | 2020.03.01 |
|---|---|
| 우한폐렴, 코로나19 피해를 입은 노동자, 확진자, 격리자, 중소상인 등을 위한 특별지원 정리+신청방법 및 대상, 지원내용 (0) | 2020.02.28 |
| 굳이 나쁜 습관을 바꾸려하지마라. 새로운 습관만들기! 습관의 구조를 이해를 바탕으로! (0) | 2020.02.24 |
| 중국의 3대 계파. 3대 파벌에 대한 INFO와 우한폐렴 관련 추측 (0) | 2020.02.21 |
| 국민내일배움카드 신청방법 및 자격조건 (0) | 2020.02.20 |
댓글